Impacted and Missing Teeth

Impacted teeth

Impactions can be caused by improper positioning of the developing tooth bud. This can cause the tooth to fail to erupt into the mouth. Impactions can also be caused by early loss of primary teeth or crowding of teeth. Wisdom teeth are the most commonly impacted teeth. Canines and premolars can also be impacted.
Before
After

How can impacted teeth be orthodontically corrected?

Usually the impacted tooth is exposed over the course of a few months and brought into the correct position of the mouth. Correction of impacted teeth may involve a minor surgical procedure performed by an oral surgeon working closely with our practice. This will allow us to then guide eruption of the impacted tooth into proper position.

This problem should be corrected because it can:

cause damage to the root structure of adjacent teeth

interfere with the sinus cavity

leave unwanted spaces

lead to improper functioning of the teeth

cause premature wear of the teeth

case asymmetric alignment of the teeth

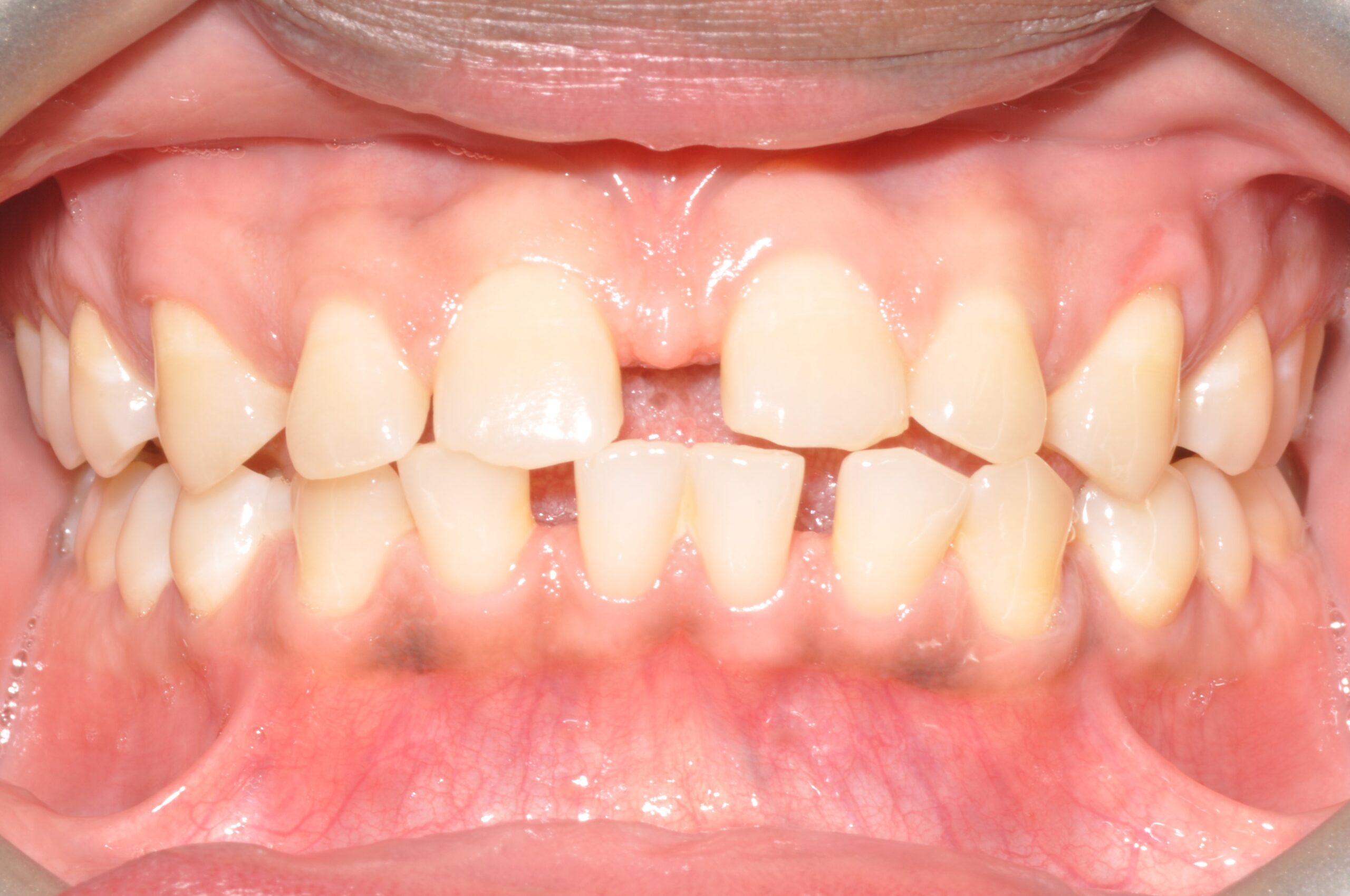
Missing teeth

Missing teeth is the absence of a tooth or teeth that should normally be present. This can be caused by trauma or lack of development.
Before
After

How can missing teeth be orthodontically corrected?

Depending upon the situation, the space can be closed with braces or opened for tooth replacement. A bridge or dental implant are restorative options if a space is created.

This problem should be corrected because it can:

cause improper functioning of teeth

cause premature wear of teeth

cause asymmetric alignment of the teeth

make your smile less attractive

Types of Braces Suitable for Children

Traditional Metal Braces

Traditional metal braces remain the most common option for children. They effectively straighten teeth and correct bite issues. Made from high-quality stainless steel, these braces are durable and efficient, providing reliable results over time.

Ceramic Braces

Ceramic braces offer an aesthetic option for older children. These braces use clear or tooth-colored brackets, making them less noticeable. They function similarly to metal braces but blend in with the teeth, offering a more discreet treatment.

Clear Aligners

Clear aligners present a modern, removable alternative to traditional braces. Custom-made for each patient, these aligners gradually shift teeth into place. Children can remove them for eating and brushing, which makes maintaining oral hygiene easier.

The Orthodontic Treatment Process

Initial Consultation

During the first visit the orthodontist will conduct a thorough examination of your child’s teeth and jaw. They will take X-rays and impressions to understand the specific issues. This initial consultation sets the foundation for an effective treatment plan.

Customized Treatment Plan

Orthodontists tailor the treatment plan to each child’s unique needs. They consider the severity of the dental issues, the child’s age, and their growth patterns. The orthodontist will explain the proposed treatment, including the type of braces recommended and the expected duration.

Regular Adjustments

Follow-up visits are crucial to the success of the treatment. The orthodontist will adjust the braces periodically to ensure teeth move as planned. Regular adjustments help track progress and make any necessary modifications to the treatment plan.

Addressing Common Concerns

Discomfort

Children may experience discomfort when they first get braces or after adjustments. To manage this, orthodontists recommend using orthodontic wax to cover sharp edges and alleviate irritation. Over-the-counter pain relievers can also help reduce soreness. Encouraging your child to stick to soft foods for the first few days can make the transition smoother.

Dietary Restrictions

Certain foods can damage braces or get stuck in them. Avoid hard, sticky, or chewy foods like nuts, popcorn, and caramel. Instead, opt for braces-friendly options like yogurt, pasta, and steamed vegetables. Cutting fruits and vegetables into smaller pieces can also prevent damage to the braces.

Oral Hygiene

Maintaining oral hygiene is crucial during orthodontic treatment. Brushing and flossing around braces can be challenging but necessary to prevent plaque buildup and cavities. Use a soft-bristled toothbrush and fluoride toothpaste, and consider adding an interdental brush to clean between the brackets. Regular dental checkups will ensure your child’s teeth stay healthy throughout the treatment.

Duration of Treatment

Typical Timeline

The average length of time children wear braces varies but typically ranges from 18 to 24 months. The orthodontist will provide an estimated timeline based on the initial assessment.

Factors Influencing Duration

Several factors can affect how long your child will need braces. The severity of the dental issues plays a significant role; more complex cases may require longer treatment. Compliance with orthodontist instructions, such as attending regular appointments and wearing rubber bands or other appliances as directed, can also influence the duration. Additionally, the child’s growth patterns and individual response to treatment can impact the overall timeline.

Why Choose Pelletier Smiles for Your Child's Orthodontic Care

At Pelletier Smiles, we understand the importance of a healthy, confident smile for your child. Our experienced orthodontists use the latest technology and techniques to provide personalized treatment plans that meet each child’s unique needs. We create a comfortable and welcoming environment to make every visit a positive experience for both children and parents. Schedule a consultation and discover how we can help your child achieve a beautiful, healthy smile that lasts a lifetime. Contact Pelletier Smiles today to book your appointment and take the first step towards exceptional orthodontic care.

Frequently Asked Questions (FAQs)

The American Association of Orthodontists recommends that children have their first orthodontic checkup by age seven. Early evaluations can help identify potential issues and determine the best time to begin treatment.
The duration of orthodontic treatment varies depending on the severity of the dental issues. On average, children wear braces for 18 to 24 months. Your orthodontist will provide an estimated timeline based on your child’s specific needs.
Braces can cause some discomfort, especially after initial placement and adjustments. This discomfort is usually temporary and can be managed with orthodontic wax, over-the-counter pain relievers, and a diet of soft foods for the first few days.
Children with braces should avoid hard, sticky, and chewy foods like nuts, popcorn, and caramel. These foods can damage braces or get stuck in them. Instead, opt for soft foods and cut fruits and vegetables into smaller pieces.

Maintaining oral hygiene with braces is essential to prevent plaque buildup and cavities. Encourage your child to brush and floss regularly using a soft-bristled toothbrush, fluoride toothpaste, and interdental brushes. Regular dental checkups are also important.

Scroll to Top