Braces and Gum Swelling: What Your Mouth Is Trying to Tell You
Sore or puffy gums can be unsettling, especially when you are already adjusting to orthodontic care. Braces and gum swelling often show up together, and it can be hard to tell what is normal and what needs attention. Brackets, wires, and aligners change how your teeth and gums interact, and even small changes can trigger discomfort. This article explains why braces and gum swelling happen, what symptoms to watch for, and how to calm irritation before it turns into a bigger problem.
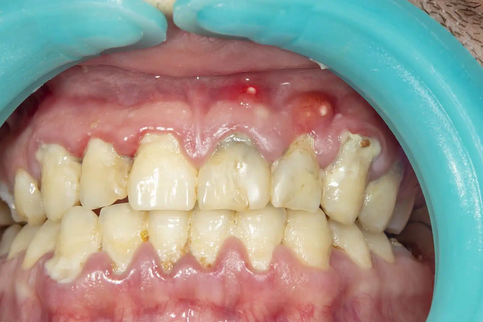
Gum Swelling From Braces — What’s Really Causing It
Braces place constant pressure on teeth so they can move into healthier positions. That pressure not only affects teeth. The surrounding gum tissue also reacts, especially during the early stages of treatment or after adjustments. Mild swelling can be a normal response, but it should not be ignored.

Gum swelling from braces is often linked to buildup around brackets and wires. Food particles and plaque are harder to remove once orthodontic appliances are in place. Common contributors include:
- Missed spots during brushing
- Tight spaces around brackets
- Changes after wire adjustments
- Irritation from rough edges
Some swelling fades as the mouth adapts. Other cases linger because plaque keeps irritating the gums. If swelling worsens, bleeds easily, or feels painful, it may signal inflammation that needs better care or professional attention.
Early Symptoms That Signal Braces-Related Gum Issues
Gum changes often start small. Many people notice slight tenderness or a tight feeling around the teeth before visible swelling appears. These early signs can be easy to dismiss, yet they are often the first clue that the gums are under stress.
As irritation continues, symptoms become easier to spot:
- Red or darkened gum edges
- Puffiness around brackets
- Bleeding during brushing or flossing
- Sensitivity when eating
Paying attention to these signs matters. Gums that stay inflamed can pull away from the teeth or trap more plaque, which can slow progress and make orthodontic care more uncomfortable.
How Braces Affect Gum Health Over Time
Orthodontic appliances change how force is applied inside the mouth. As teeth shift, the gums must adapt to new positions and pressure points. This adjustment period can place stress on the tissue, especially during the first few months.
Cleaning also becomes more demanding with brackets and wires in place. Areas that were once easy to reach can trap plaque and bacteria. When plaque sits along the gumline, irritation builds, and swelling becomes more likely.
Long-term gum health during orthodontic care depends on consistency. With proper cleaning and regular checkups, gums can stay firm and pink as teeth move. Without that care, inflammation can linger and lead to deeper problems.
Braces Gum Inflammation and How to Reduce It Fast
Inflamed gums can make orthodontic treatment feel harder than it needs to be. Pressure from appliances, combined with plaque near the gumline, often leads to soreness and swelling. Brace gum inflammation can also flare up after adjustments, when the mouth is already sensitive.
Simple habits can calm irritated tissue and support healing:
- Rinse with warm salt water to soothe soreness
- Use orthodontic wax on areas that rub the gums
- Brush gently along the gumline with a soft toothbrush
- Clean between teeth and wires with floss threaders or interdental brushes
Relief should come within a few days. If pain increases or swelling spreads, home care may not be enough. Persistent irritation is a sign that professional guidance is needed to protect both gum health and treatment progress.
Swollen Gums With Orthodontic Treatment — When to Call a Professional

Swollen gums with orthodontic treatment should be checked if they remain tender, bleed often, or appear shiny and enlarged. Pain, persistent redness, or gums growing over brackets are also warning signs. Early care can prevent infection, protect the gums, and keep treatment moving forward without added setbacks.
Frequently Asked Questions About Braces and Gum Care
Can braces cause gum swelling even with good hygiene?
Yes, gum tissue can still react to the pressure created as teeth move into new positions. Good hygiene reduces plaque buildup, but the gums may remain sensitive during certain stages of orthodontic care.
Is gum swelling more common at the start of treatment?
Swelling is often more noticeable during the early weeks, when the mouth is adjusting to brackets, wires, or aligners. As the tissues adapt and cleaning habits improve, irritation often becomes less frequent.
Can swollen gums affect how braces work?
Yes, ongoing inflammation can make tooth movement less efficient and may slow progress. Healthy gums respond better to orthodontic pressure and support more predictable results.
Should I stop wearing elastics if my gums hurt?
Elastics should not be stopped without professional advice, even if discomfort is present. Gum pain may point to inflammation or irritation that needs care, not a change in wear instructions.
Trusted Orthodontic Care With Dr. Pelletier
Gum comfort plays an important role during orthodontic treatment, and experience matters when managing changes like swelling or irritation. At Dr. James L. Pelletier brings more than 35 years of orthodontic experience, supported by advanced equipment, a skilled team, and a patient-first approach in Dracut, MA, and Windham, NH. That background helps ensure gum health is monitored closely throughout treatment, not just teeth alignment.
The practice focuses on personalized orthodontic treatment, offering braces, Invisalign, and custom 3D printed aligners to match each patient’s needs. Care is delivered in a friendly and supportive environment, with attention to comfort at every stage. If you are concerned about gum swelling during orthodontic care, schedule a consultation with Dr. Pelletier’s office to get guidance and lasting relief.
Addressing gum concerns early can help prevent discomfort from interfering with daily life or long-term results. The team takes time to answer questions, explain care steps, and adjust treatment when needed.
Reach out today to book an appointment and take the first step toward healthier gums and a confident smile.